Skeletal Trauma > Foot & Heel > Foot & Heel Quiz


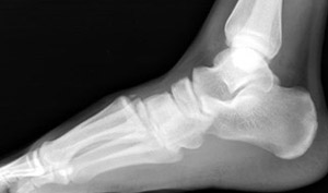
Metatarsal Fracture

What fracture is shown here?


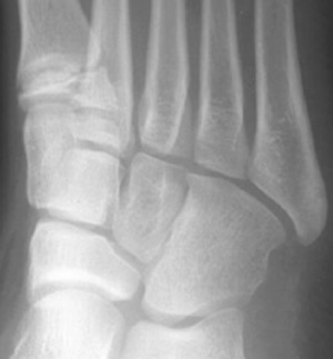
What fracture is shown here?


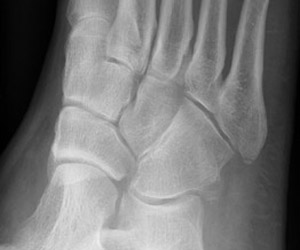
What fracture is shown here?