Skeletal Trauma > Foot & Heel > Foot & Normal Anatomy


Foot & Heel Anatomy

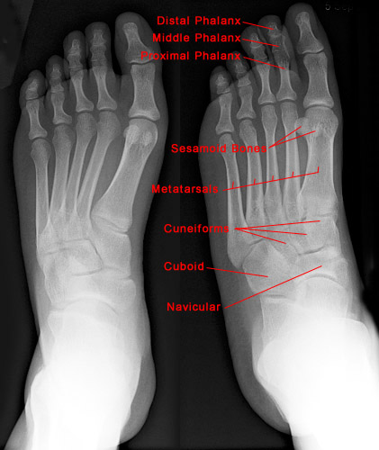
The following images show the normal anatomy of the foot and heel.
  • Anatomically, the foot can be divided into three different regions: forefoot, midfoot and hindfoot. The seven tarsal bones of the foot are located within the hindfoot and midfoot, with the hindfoot containing the talus and calcaneus, and the midfoot consisting of the navicular, cuboid, and three cuneiforms. The forefoot contains the metatarsals and phalanges.
  • Standard radiographic examination includes AP, lateral and oblique films. Occasionally, a different tangential film may be required for diagnosis.