Skeletal Trauma > Ankle > Quiz


Ankle Quiz

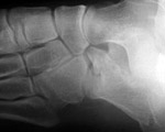
What abnormality is shown here?


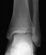
What abnormality is shown here?


What abnormality is shown here?


What abnormality is shown here?