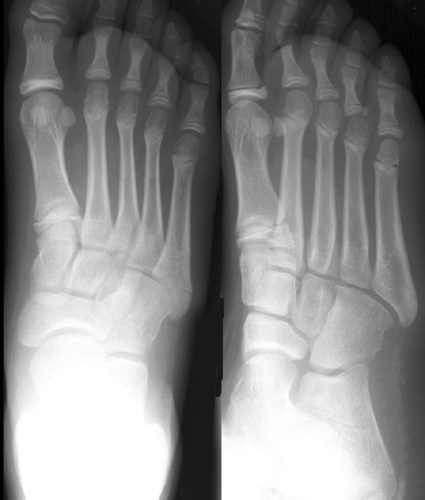
Skeletal Trauma > Foot & Heel > Metatarsal Fracture


Metatarsal Fracture

Metatarsal Fracture

  • It is important to remember that a fracture may only be visible on one view. Therefore, a careful look at each metatarsal in each view is necessary.
Look at the following radiographs. Can you find the fractures?
Click on the image for the answer.