Skeletal Trauma > Foot & Heel > Lisfranc Injury


Lisfranc Injury

Lisfranc Injury

  • A fracture and or dislocation at the tarsometatarsal joint.
  • It is named after a surgeon in Napoleon's cavalry who originally described them.
  • At that time, the most common mechanism of injury was getting a foot caught in a stirrup. Now, they are most often seen in patients after a motor vehicle accident and in mountain bikers who get their feet caught in the pedal clips.
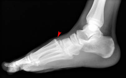
Look at the radiographs below. The labels show the fracture component, but also note the dislocation. The medial border of the second metatarsal is not aligned with the medial border of the second cuneiform. The dislocation is the main radiographic feature of a Lisfranc injury.



Lateral view of Lisfranc fracture