Skeletal Trauma > Foot & Heel > Jones Fracture


Jones Fracture

Jones Fracture

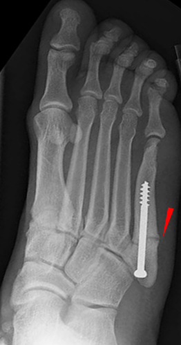
  • Fracture of the base of the fifth metatarsal, at least 1.5 cm. distal to the metatarsal styloid.
  • It can be confused with an unfused apophysis of the fifth metatarsal. However, the apophysis is usually aligned lengthwise, while the fracture is transverse to the bone .
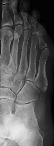
  • It can also be confused with an avulsion fracture of the styloid due to contraction of the peroneus brevis muscle, usually occurring closer to the metatarsal styloid.
  • If a true Jones fracture is not immobilized, nonunion may be a complication.
  • The image on the left below shows a Jones fracture that was fixed with a screw to aid healing. The image on the right is an avulsion fracture.