Skeletal Trauma > Post Test
Post Test
![]()
1) Identify the fracture pattern shown in the image below.


2) Identify the fracture alignment shown in the image below.


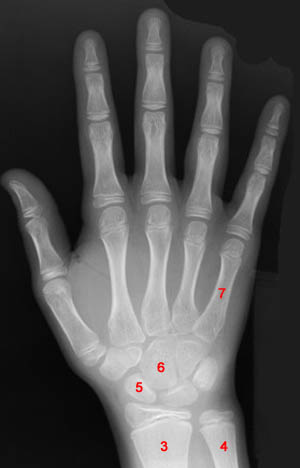
Questions 3-7: Please refer to the following image.

3) Identify the object labeled "3" in the above image.
4) Identify the object labeled "4" in the above image.
5) Identify the object labeled "5" in the above image.
6) Identify the object labeled "6" in the above image.
7) Identify the object labeled "7" in the above image.
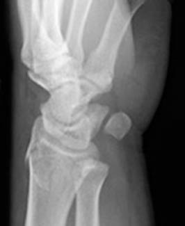
8) Name the abnormality shown in the image below.


9) When evaluating the fracture shown in the question above, what secondary fracture should also be looked for?
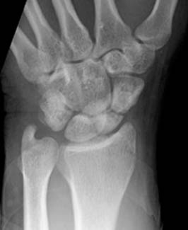
10) Name the abnormality shown in the image below.


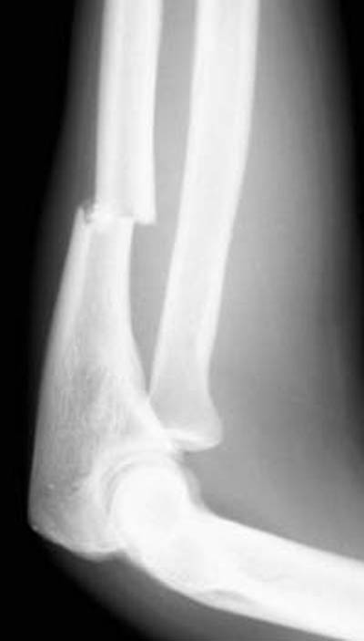
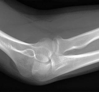
11) What abnormalities of the elbow can be observed in the image below?


12) Based on your findings, what fracture is shown in the above image?
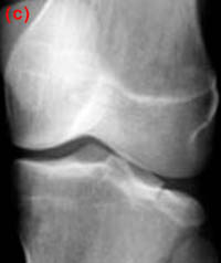
13) Name the abnormality shown in the image below?


14) What other clinical finding(s) would you expect to find in a patient with the fracture shown above?
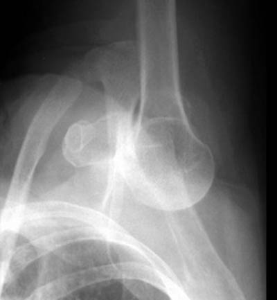
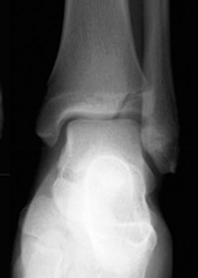
15) Name the abnormality shown in the image below?


16) What anatomical structure can be easily damaged during a dislocation such as the one shown above?
17) Type I acromioclavicular joint separation is defined as a partial tear of the acromioclavicular ligament with no displacement. Under such conditions, x-ray of the region would be abnormal.
18) In cases of thoracic and lumbar spine compression fractures, CT is indicated for assessment of the spinal canal.
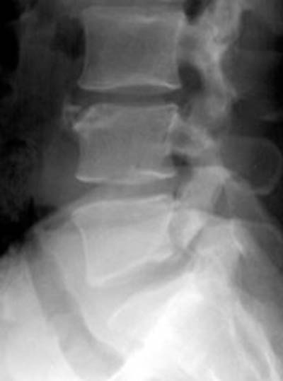
19) Name the abnormality shown in the image below.


20) In which demographic is the injury shown above most common?
21) At which spinal level is the injury shown above most common?
22) Name the abnormality shown in the image below.


23) What abnormalities of the pelvis can be observed in the image below?


24) Based on your findings, name the condition shown in the image above.
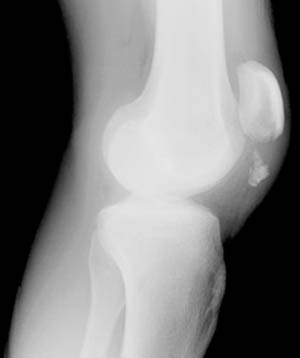
25) Name the abnormality shown in the image below.


26) How can a patellar fracture be distinguished from bipartite or multipartite patella?
27) A patient is known to have a torn ACL and presents for x-ray examination of the knee. Which of the following findings is often associated with a torn ACL?






28) Name the abnormality shown in the image below.


29) Give the specific name for the fracture type shown in the image above.
30) A Jones Fracture specifically refers to a fracture of which metatarsal?
