Pediatric Radiology > Chest > Pulmonary Inflammatory Disease > Bordetella Pertussis


Pulmonary Inflammatory Disease

Specific Organisms


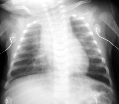
Bordetella pertussis pneumonia is encountered less frequently because of vaccination, but it is still relatively common. In the fall of 2001, there was a small epidemic of 56 cases in Albemarle County, Virginia. The diagnosis is usually made on the basis of the characteristic "whooping cough" and confirmed with a PCR test. The classic finding on CXR is a "shaggy heart".

  

Example of a "shaggy heart" on CXR in a patient with Bordetella pertussis pneumonia.