Pediatric Radiology
> Chest
> Pulmonary Inflammatory Disease
> Pleural Effusions
Pulmonary Inflammatory Disease

|
Bacterial Pulmonary Infection
Pleural effusions are common in bacterial pneumonias and should be easily recognized on the CXR. Most pleural effusions are transudative parapneumonic effusions that will resolve with antibiotic treatment of the pneumonia. An empyema will result from spread of the infection into the pleural fluid.
Differentiating sterile transudative parapneumonic pleural fluid from an empyema is difficult with imaging, and therefore a sample of the fluid is usually necessary. Children with pneumonia and empyema that are not responding to antibiotics will require drainage. A chest CT is helpful to plan and monitor the drainage procedure.
|
| | |
 |
 |
|
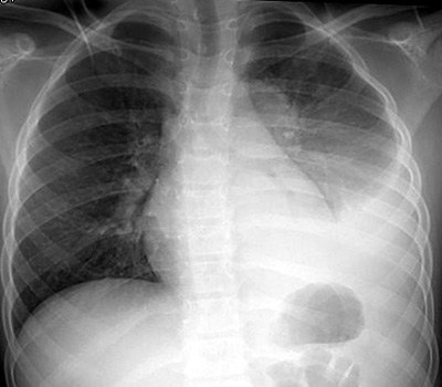
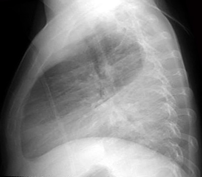
PA and LAT CXR demonstrates a left lower lobe consolidation, representing pneumonia.
Also note the meniscus in the left costophrenic angle indicating a parapneumonic left pleural effusion.
|
| | |
 |
|
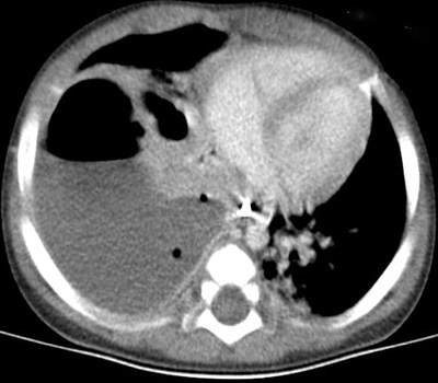
Example of an empyema. CT through the lower thorax shows a fluid collection in the right lower
pleural space with an air fluid level and a thick enhancing wall.
|
| | |

