Pediatric Radiology > Chest > Pulmonary Inflammatory Disease > Mycoplasma


Pulmonary Inflammatory Disease

Specific Organisms


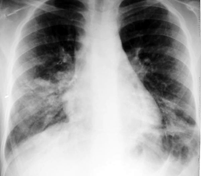
Mycoplasma pneumoniae is a common cause of epidemic respiratory infections in the school-age child. Symptoms tend to be less severe, and it is sometimes referred to as "walking pneumonia".

Mycoplasma has a variable presentation on CXR, most commonly presenting as bilateral lower lobe consolidation with small pleural effusions. It may also present with bilateral reticulonodular densities and areas of atelectasis if the infection is predominantly bronchitis.

  

Example of bilateral lower lobe opacities on CXR in a patient with Mycoplasma pneumoniae.