Pediatric Radiology > Abdominal > Neonatal > Tracheoesophageal Fistula
Tracheoesophageal Fistula
![]()
|
|
![]() |
|
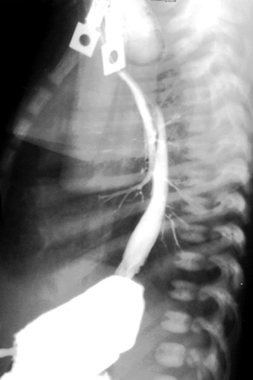
| While one would not purposely perform a study in this way, it nicely demonstrates the anatomy of esophageal atresia with TE fistula. Contrast was administered through a G tube into the stomach. The contrast refluxed into the distal esophagus across the tracheoesophageal fistula into the trachea and from the trachea into the esophageal pouch. |
|
