Pediatric Radiology > Abdominal > Neonatal > Esophageal Atresia (2)
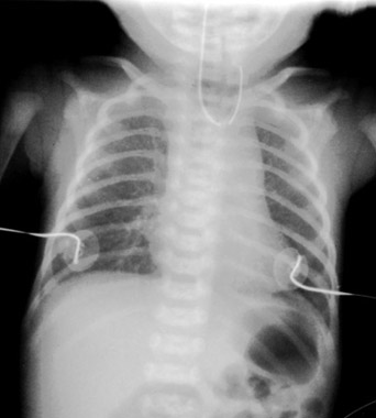
Esophageal Atresia - Radiographic Features
![]()
|
Common radiographic features include the "Coiled NG Tube" in the esophageal pouch. If there is bowel gas in the abdomen there must be an associated tracheoesophageal fistula, ~90% of cases of esophageal atresia. A TE fistula can occur without esophageal atresia and may present later in life with wheezing or recurrent pneumonia. |
