Pediatric Radiology > Abdominal > Neonatal > Duodenal Atresia (1)
Duodenal Atresia
![]()
|
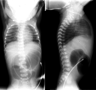
The most common cause of congenital duodenal obstruction is duodenal atresia. Failure of recannulation of the duodenum typically occurs in the region of the ampulla of Vater. It is often diagnosed prenatally on OB ultrasound. The incidence is 1 in 10,000 live births. Associated disorders include Down syndrome (30%), malrotation (20%), heart disease (20%), renal anomalies, tracheoesophageal fistula, and the VACTERL anomalies. Symptoms include bilious vomiting in the first day of life. Treatment is surgery. |
