Head CT > Tumor > Meningioma
Meningioma
![]()
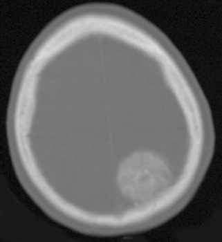
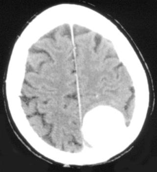
Meningiomas are the most common extra-axial neoplasm of the brain. Middle-aged women are most frequently affected. Twenty percent of meningiomas calcify. On CT, meningiomas are usually isointense to gray matter.
![]() Bone windows confirm calcification within the mass. ![]() Axial, post contrast CT demonstrating broad based enhancing extra-axial mass. |


