Head CT > Tumor > Glioblastoma Multiforme
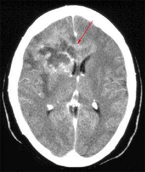
Glioblastoma Multiforme
![]()
Glioblastoma Multiforme is the most aggressive grade of astrocytoma. The two-year survival rate of patients diagnosed with Glioblastoma Multiforme is 10-15%. On CT, GBM is characterized by necrosis and irregular enhancement. It is one of very few lesions that frequently cross the corpus callosum.
![]() Notice the ill-defined low density in the right frontal region. An image post contrast
administration in the same patient reveals patchy |

