Head CT > Tumor > Intracranial Tumors


Intracranial Tumors

Intracranial tumors generally present with a focal neurological deficit, seizure, or headache.



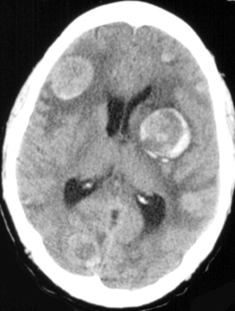
Multiple enhancing masses located at the grey-white junction zones.