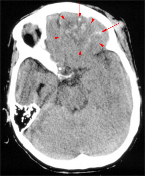
Head CT > Trauma > Cerebral Contusion
Cerebral Contusion
![]()
Cerebral
contusions are the most common primary intra-axial injury. They often
occur when the brain impacts an osseous ridge or a dural fold. The foci
of punctate hemorrhage or edema are located along gyral crests. The following
are common locations:
- Temporal lobe - anterior tip, inferior surface, sylvian region
- Frontal lobe - anterior pole, inferior surface
- Dorsolateral midbrain
- Inferior cerebellum
On CT, cerebral contusion appears as an ill-defined hypodense area mixed
with foci of hemorrhage. Adjacent subarachnoid hemorrhage is common. After
24-48 hours, hemorrhagic transformation or coalescence of petechial hemorrhages
into a rounded hematoma is common.

