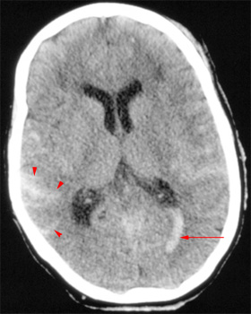
Head CT > Trauma > Intraventricular Hemorrhage
Intraventricular Hemorrhage

Traumatic
intraventricular hemorrhage is associated with diffuse axonal injury,
deep gray matter injury, and brainstem contusion. An isolated intraventricular
hemorrhage may be due to rupture of subependymal veins.
Intraventricular
hemorrhage (arrow) found in a trauma
patient. Note the subarachnoid hemorrhage in the
sulci in the subarachnoid space (arrowheads). |

