Head CT > Trauma > Diffuse Axonal Injury
Diffuse Axonal Injury
![]()
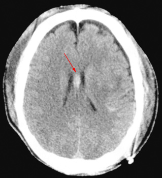
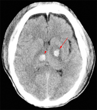
Diffuse
axonal injury is often referred to as "shear injury". It is
the most common cause of significant morbidity in CNS trauma. Fifty percent
of all primary intra-axial injuries are diffuse axonal injuries. Acceleration,
deceleration and rotational forces cause portions of the brain with different
densities to move relative to each other resulting in the deformation
and tearing of axons. Immediate loss of consciousness is typical of these
injuries. The CT of a patient with diffuse axonal injury may be normal
despite the patient's presentation with a profound neurological deficit.
With CT, diffuse axonal injury may appear as ill-defined areas of high
density or hemorrhage in characteristic locations. The injury occurs in
a sequential pattern of locations based on the severity of the trauma.
The following list of diffuse axonal injury locations is ordered with
the most likely location listed first followed by successively less likely
locations:
- Subcortical white matter
- Posterior limb internal capsule
- Corpus callosum
- Dorsolateral midbrain

