Head CT > Trauma > Subarachnoid Hemorrhage
Subarachnoid Hemorrhage
![]()
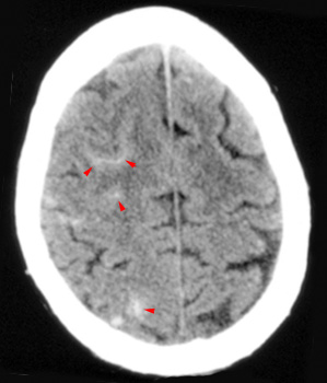
A subarachnoid hemorrhage occurs with injury of small arteries or veins on the surface of the brain. The ruptured vessel bleeds into the space between the pia and arachnoid matter. The most common cause of subarachnoid hemorrhage is trauma. In the absence of significant trauma, the most common cause of subarachnoid hemorrhage is the rupture of a cerebral aneurysm. When traumatic, subarachnoid hemorrhage occurs most commonly over the cerebral convexities or adjacent to otherwise injured brain (i.e. adjacent to a cerebral contusion). If there is a large amount of subarachnoid hemorrhage, particularly in the basilar cisterns, the physician should consider whether a ruptured aneurysm led to the subsequent trauma. Cerebral angiography may be needed for further evaluation. On CT, subarachnoid hemorrhage appears as focal high density in sulci and fissures or linear hyperdensity in the cerebral sulci. Again, the most common location of posttraumatic subarachnoid hemorrhage is over the cerebral convexity. This may be the only indication of cerebral injury.

