Head CT > Trauma > Acute Subdural Hematoma
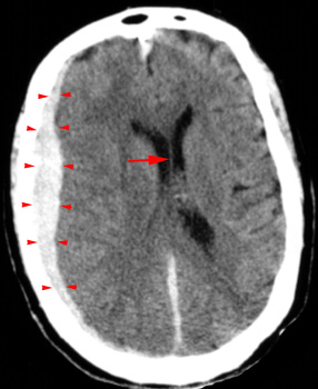
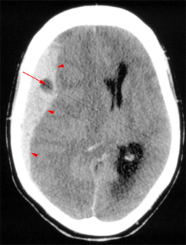
Acute Subdural Hematoma
![]()
Deceleration
and acceleration or rotational forces that tear bridging veins can cause
an acute subdural hematoma. The blood collects in the space between the
arachnoid matter and the dura matter. The hematoma on CT has the following
characteristics:
- Crescent shaped
- Hyperdense, may contain hypodense foci due to serum, CSF or active bleeding
- Does not cross dural reflections


