Head CT > Stroke > CT of Subacute Infarction
CT of Subacute Infarction
![]()
The
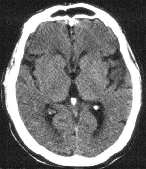
CT of a subactue infarction has the following findings in 1 -3 days:
- Increasing mass effect
- Wedge shaped low density
- Hemorrhagic transformation
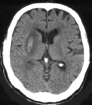
After 4 - 7 days the CT is characterized by:
- Gyral enhancement
- Persistent mass effect
In 1-8 weeks:
- Mass effect resolves
- Enhancement may persist


