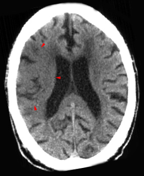
Head CT > Stroke > Diffuse Hypodensity
Diffuse Hypodensity and Sulcal Effacement
![]()
Diffuse hypodensity and sulcal effacement is the most consistent sign of infarction. Extensive parenchymal hypodensity is associated with poor outcome. If this sign is present in greater than 50% of the middle cerebral artery territory there is, on average, an 85% mortality rate. Hypodensity in greater than one-third of the middle cerebral artery territory is generally considered to be a contra-indication to thrombolytic therapy.

