Head CT > Stroke > Enhancement in Infarctions
Enhancement in Infarctions
![]()
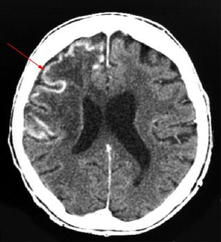
Ninety percent of infarcts enhance on CT examinations with intravenous contrast at 1 week after the infarct. Approximately 35% enhance by 3 days. Faint enhancement begins near the pial surface or near the infarct margins. The enhancement is initially smaller than the area of infarction. It subsequently becomes gyriform. Enhancement is due to breakdown of the blood brain barrier, neovascularity, and reperfusion of damaged brain tissue.

