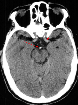
Basilar Thrombosis

Thrombosis
of the basilar artery is a common finding in stroke patients. CT findings
include a dense basilar artery without contrast injection.
Dense basilar artery
(arrow). Compare this to
the normal internal carotid artery (arrowhead). |

