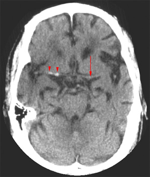
Head CT > Stroke > Hyperdense Vessel
Hyperdense Vessel Sign
![]()
A hyperdense vessel is defined as a vessel denser than its counterpart and denser than any non-calcified vessel of similar size. This is seen in 25% of stroke patients. In patients presenting with clinical deficit referable to the middle cerebral artery territory, the hyperdense vessel sign is present 35-50% of the time. This sign indicates poor outcome and poor response to IV-TPA therapy.

