Head CT > Stroke > Lentiform Nucleus Obscuration
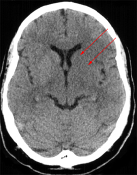
Lentiform Nucleus Obscuration
![]()
Lentiform nucleus obscuration is due to cytotoxic edema in the basal ganglia. This sign indicates proximal middle cerebral artery occlusion, which results in limited flow to lenticulostriate arteries. Lentiform nucleus obscuration can be seen as early as one hour post onset of stroke.

