Head CT > Stroke > Coagulopathy IH
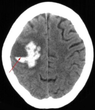
Coagulopathy Related Intracerebral Hemorrhage
![]()
Coagulopathy related intracerebral hemorrhage can be due to drugs such as coumadin or a systemic abnormality such as thrombocytopenia. On imaging, this hemorrhage often has a heterogeneous appearance due to incompletely clotted blood. A fluid level within a hematoma suggest coagulopathy as an underlying mechanism.

