Head CT > Stroke > Hemorrhage Due to AM
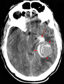
Hemorrhage Due to Arteriovenous Malformation
![]()
An underlying arteriovenous malformation (AVM) may or may not be visible on a CT scan. However, prominent vessels adjacent to the hematoma suggest an underlying arteriovenous malformation. In addition, some arteriovenous malformations contain dysplastic areas of calcification and may be visible as serpentine enhancing structures after contrast administration.


