Head CT > Stroke > Hypertensive Hemorrhage
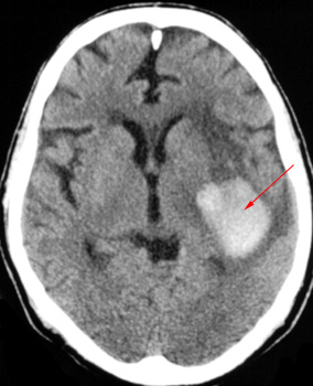
Hypertensive Hemorrhage
![]()
Hypertensive hemorrhage accounts for approximately 70-90% of non-traumatic primary intracerebral hemorrhages. It is commonly due to vasculopathy involving deep penetrating arteries of the brain. Hypertensive hemorrhage has a predilection for deep structures including the thalamus, pons, cerebellum, and basal ganglia, particularly the putamen and external capsule. Thus, it often appears as a high-density hemorrhage in the region of the basal ganglia. Blood may extend into the ventricular system. Intraventricular extension of the hematoma is associated with a poor prognosis.

