Head CT > Stroke > Intracerebral Hemorrhage
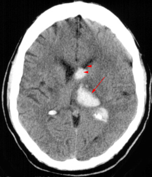
Intracerebral Hemorrhage
![]()
The most common cause of non-traumatic intracerebral hematoma is hypertensive hemorrhage. Other causes include amyloid angiopathy, a ruptured vascular malformation, coagulopathy, hemorrhage into a tumor, venous infarction, and drug abuse.

