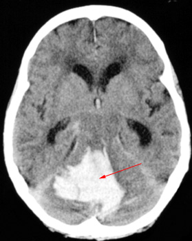
Head CT > Stroke > Hemorrhagic Stroke
Hemorrhagic Stroke
![]()
Hemorrhagic strokes account for 16% of all strokes. There are two major categories of hemorrhagic stroke. Intracerebral hemorrhage is the most common, accounting for 10% of all strokes. Subarachnoid hemorrhage, due to rupture of a cerebral aneurysm, accounts for 6% of strokes overall.

