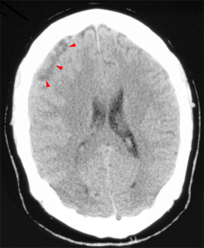
Head CT > Infection > Subdural Empyema
Subdural Empyema
![]()
Subdural
empyema is usually due to meningitis, sinusitis, trauma or prior surgery.
It is a neurosurgical emergency. Subdural empyema leads to rapid clinical
deterioration, especially if it is due to sinusitis. On CT it appears
as an isodense or hypodense extra-axial mass. It has a lentiform or crescentic
shape.
The margin of collection often enhances with contrast material administration
due to the presence of granulation tissue or subjacent cortical inflammation.
![]() Notice the heterogeneous subdural fluid collection.
In the same patient,
post contrast administration, |

