Head CT > Infection > Basilar Thrombosis
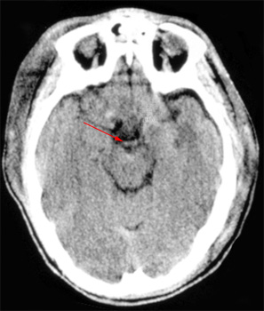
Basilar Thrombosis
![]()
Thrombosis of the basilar artery is a common finding in stroke patients. CT findings include a dense basilar artery without contrast injection.
![]() ![]() The arrow in the
left CT indicates the dense basilar artery. Compare this to the normal |


