Head CT > Infection > Epidural Abscess
Epidural Abscess
![]()
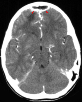
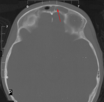
On CT, an epidural abscess appears as a focal low-density epidural mass. Dural enhancement may be present as well. The mass may extend into the subgaleal space. It also may cross the midline but usually does not cross suture lines.
![]() ![]() In the left image
notice the rim enhancing epdural fluid collection (arrowheads). In the
|


