Skeletal Trauma > Ankle > Tibia and Fibula Fractures
Tibia and Fibula Fractures
![]()
Tibia and Fibula Fractures
| |
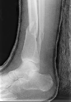
| Look at the radiographs below. Both images show a patient with a fracture of both the tibia and fibula. In this case, the fractures are laterally and anteriorly displaced. | |
|
|
|
AP View |
Lateral View |
