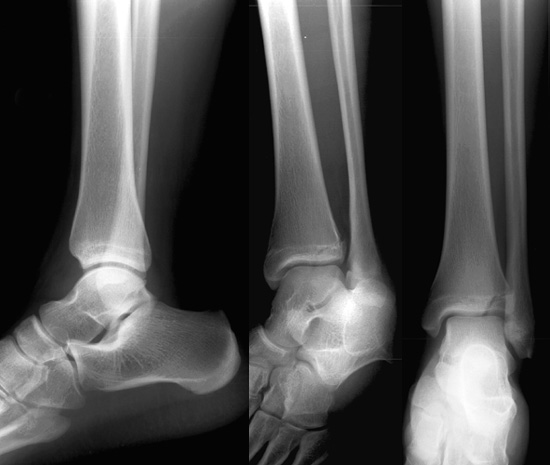
Skeletal Trauma > Ankle > Tillaux Fracture


Tillaux Fracture

Tillaux Fracture

  • Lateral margin avulsion of the distal tibia.
  • Results from injury involving a combination of abduction and external rotation.
  • Look for a vertical fracture line extending from the distal articular surface upward to the lateral cortex of the tibia.
  • Careful radiologic exam is critical for determining the neccesity of surgery. If there is greater than 2 mm lateral displacement of the fracture fragment or step-off of the distal articular surface, surgery is often required. Otherwise, conservative treatment is indicated. CT is most commonly the method of choice for this evaluation.
Look at the radiographs below. Can you identify the fracture?
Click on the image for the answer.
Lateral, oblique and AP views