Skeletal Trauma > Ankle > Talo-Calcaneal Coalition


Talo-Calcaneal Coalition

Talo-Calcaneal Coalition

  • Is one of the most common forms of tarsal coalition. 
  • Coalition is defined as the union of two or more bones that are not normally fused. As the name implies, talo-calcaneal coalition is the fusion of the talus and calcaneus.
  • Overall, the condition is very rare and non-traumatic.
  • Patient often presents with deep foot pain that is aggravated by activity but becomes better with rest. Patient may also have reduced motion at the subtalar joint.
  • Radiological exam reveals closure (either complete or partial) of the subtalar joint.
  • CT or MRI may be required to determine degree of coalition and to guide treatment.
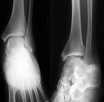
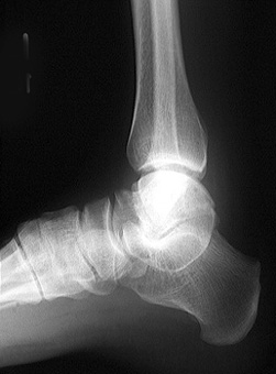
Look at the radiographs below. The talo-calcaneal coalition is best seen on the oblique view. Can you see it? Look for disruptions of the subtalar joint.
Lateral view


AP and oblique views