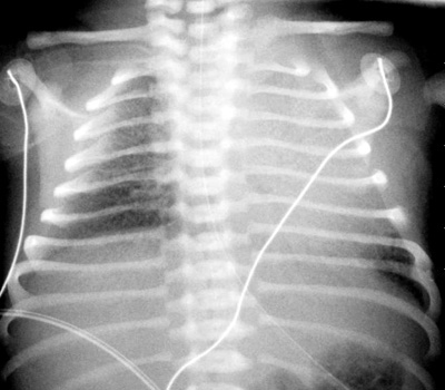
Question
1: The appropriate position of the UAC is at the level of the diaphragm.
Question
2: The "deep sulcus sign" refers to the following:
Question
3: The most likely diagnosis is:

Question
4: Pleural fluid is frequently seen with respiratory distress syndrome.
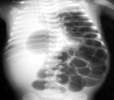
Question
5: The most likely diagnosis is:

Question
6: Which one is the most common etiology of neonatal pneumonia?
Question
7:
Which of the following induces closure of the ductus arteriosus?
Question
8:
The CXR findings of hyperexpansion, peribronchial cuffing, and dirty hila indicate which of the following:
Question
9: A pneumatocele cannot be reliably differentiated from a pulmonary abscess.
Question
10:
All of the following require a surgical consult except: