Pediatric Radiology > Chest > Post-Test Answers
Pediatric Chest Quiz Answers
![]()
Question 1: The appropriate position of the UAC is at the level of the diaphragm.
False. The appropriate position of the UAC is below the level of the L2 vertebral body to avoid complications with the mesenteric vessels. The UVC should be positioned at the level of the diaphragm to ensure placement in the IVC.
Question 2: The "deep sulcus sign" refers to the following:
Anterior pneumothorax. The "deep sulcus sign" refers to an anterior pneumothorax that is best seen on supine CXR as a hyperlucent costophrenic angle.
Question 3: The most likely diagnosis is:

Respiratory distress syndrome is the most likely diagnosis based on the decreased lung volumes and diffuse granular pattern in the lungs.
Question 4: Pleural fluid is frequently seen with respiratory distress syndrome.
False. Pleural fluid is infrequently seen with RDS. Pleural fluid is more commonly seen with neonatal infection.
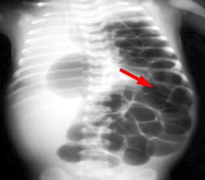
Question 5: The most likely diagnosis is:

Congenital diaphragmatic hernia. The cystic lucencies in the left chest are shown to be continuous with the bowel gas indicating a defect in the diaphragm with herniation of bowel into the chest.
Question 6: Which of these is the most common etiology of neonatal pneumonia?
The most common cause of neonatal pneumonia is group B streptococcus from the vaginal canal.
Question 7: The ductus arteriosus is induced to close by administration of:
Indomethacin will inhibit prostaglandins and thereby induce closure of the ductus arteriosus. Prostaglandins are given in cases of congenital heart disease to keep the ductus open.
Question 8: The CXR findings of hyperexpansion, peribronchial cuffing, and dirty hila indicate which of the following:
Viral bronchitis
Question 9: A pneumatocele cannot be reliably differentiated from a pulmonary abscess.
False. A pneumatocele can be differentiated from a pulmonary abscess based on the clinical status of the patient and the imaging findings.
Question 10: All of the following require a surgical consult EXCEPT:
Pulmonary interstitial emphysema is managed in the NICU with the most affected side positioned downward and adjustment of the ventilator settings.