Pediatric Radiology > Chest > Respiratory Neonatal Distress > Quiz Answers - Surgical Respiratory Neonatal Distress
Quiz Answers - Surgical Respiratory Neonatal Distress
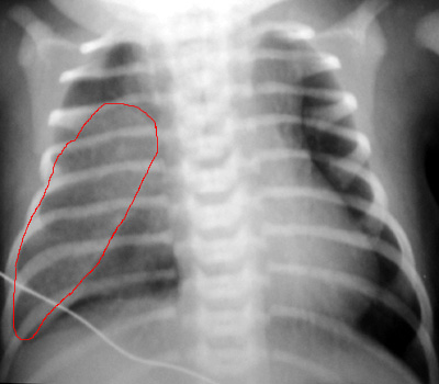
![]()

This is Congenital Lobar Emphysema.
This is a more difficult case because it does not look like typical, hyperlucent CLE.
Remember that CLE is more opaque in the initial period due to the retention of fetal pulmonary fluid.