Pediatric Radiology > Chest > Respiratory Neonatal Distress > Quiz - Surgical Respiratory Neonatal Distress
Quiz - Surgical Respiratory Neonatal Distress
![]()
![]() |
|
|
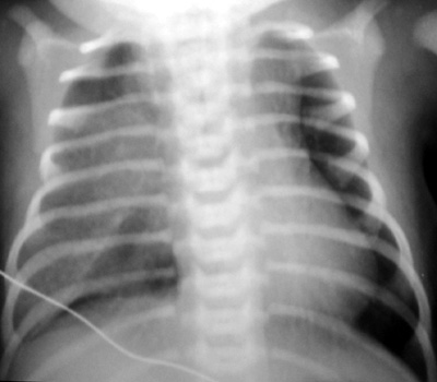
4. What is the most likely diagnosis? | |
Quiz - Surgical Respiratory Neonatal Distress
![]()
![]() |
|
|
4. What is the most likely diagnosis? | |