Pediatric Radiology > Abdominal > Neonatal > Meconium Plug Syndrome
Meconium Plug Syndrome
![]()
|
|
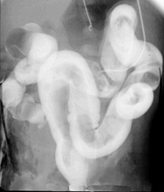
In meconium plug
syndrome, there is meconium obstruction of the colon, often seen in infants
of diabetic mothers or mothers who received magnesium sulfate for eclampsia.
Meconium forms a cast of the colon, and the colon remains normal in caliber.
These patients present within the first 24 hours of life with abdominal distension, vomiting,
and failure to pass meconium. Differential diagnosis includes Hirschsprung Disease. Treatment is with water-soluble enemas.
|
| Meconium cast filling defect in colon on barium enema. |
