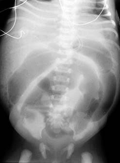
Pediatric Radiology > Abdominal > Neonatal > Meconium Ileus - Radiographic Features
Meconium Ileus - Radiographic Features
![]()
| ·
Microcolon (unused colon) · "Frothy" or "soap-bubble" pattern of bowel gas (air mixed with meconium), often in the right lower quadrant · Dilated small bowel loops · Small bowel obstruction · Calcification due to meconium peritonitis (15%) · Distal ileum packed with meconium and larger than microcolon on contrast enema |

