Pediatric Radiology > Abdominal > Lower GI > Intussusception
Intussusception
![]()
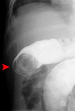
Intussusception
is the telescoping of one portion of the bowel into another. For example,
the terminal ileum could invaginate into the colon. Idiopathic incidences
may be seen following viral illness with hypertophy of Peyer's patches
in the terminal ileum. Age of presentation is usually 3 months to 24 months.
Pathologic intussusception is associated with a lead point such as a tumor, inspissated feces (cystic fibrosis) or lymphoma, often in older child greater than age 2. Symptoms include crampy abdominal pain, bloody stools, and vomiting. Treatment is fluoroscopically
guided reduction with air or fluid enema or surgery if unreducible. At our institution an air enema is first performed followed by surgery if this method is unsuccessful. |
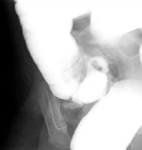
Intussusception
is the telescoping of one portion of the bowel into another. For example,
the terminal ileum could invaginate into the colon. Idiopathic incidences
may be seen following viral illness with hypertophy of Peyer's patches
in the terminal ileum. Age of presentation is usually 3 months to 24 months.
Pathologic intussusception is associated with a lead point such as a tumor, inspissated feces (cystic fibrosis) or lymphoma, often in older child greater than age 2. Symptoms include crampy abdominal pain, bloody stools, and vomiting. Treatment is fluoroscopically
guided reduction with air or fluid enema or surgery if unreducible. At our institution an air enema is first performed followed by surgery if this method is unsuccessful.

