Pediatric Radiology > Abdominal > Lower GI > Appendicitis - Radiographic Features
Appendicitis - Radiographic Features
![]()
![]() |
|
|
Plain film XR demonstrates a small bowel obstruction with an appendicolith faintly visualized in the RLQ.
|
|
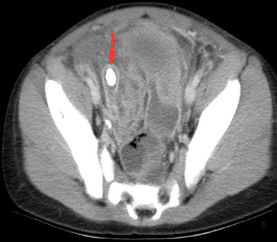
![]() |
![]() |
| US confirms a dilated appendix with the calcified appendicolith. | CT confirms the calcified appendicolith and findings of appendicitis. |


