Pediatric Radiology > Abdominal > Upper GI > Esophageal Structures
Esophageal Structures
![]()
|
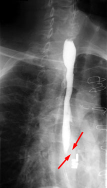
Esophageal
strictures are areas of local esophageal narrowing. They can result from
ingestion of corrosive agents, previous esophageal atresia repair, epidermolysis
bullosa or gastroesophageal reflux. A commonly used therapy is using balloon catheters
under fluoroscopic guidance to dilate the esophagus. |

