Pediatric Radiology > Abdominal > Upper GI > Esophageal Foreign Body


Esophageal Foreign Body

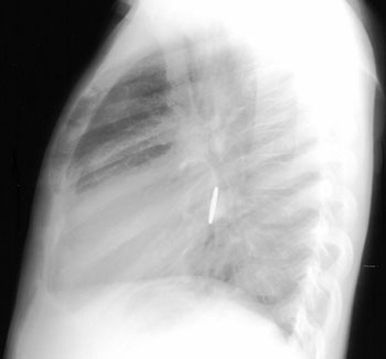
Lateral view of coin

Most swallowed foreign bodies, especially the round ones, pass through the entire gastrointestinal tract successfully, but some lodge in the esophagus, usually proximally at the thoracic inlet or at the level of the aortic arch. The most common foreign body is a coin. Batteries can cause mucosal damage. The treatment is endoscopic removal or fluoroscopically guided removal. Complications of chronic foreign bodies include traumatic tracheoesophageal fistula or an inflamed mass that compresses the trachea resulting in respiratory symptoms. On XR, a coin lodged in the esophagus has its widest dimension on the AP view and a coin in the trachea has its widest dimension on the lateral view.
Coin in midthoracic esophagus