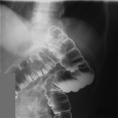
Double Contrast (Air Contrast) Barium Enema (cont.)

Conduct Of The
Examination (cont.)
|
- Return the table to a horizontal position. Turn the
patient over into the supine position.
During fluoroscopic monitoring, instill enough air to
distend the rectosigmoid.
Take RPO and LPO spot images of the sigmoid colon.
- Roll the patient onto the left side.
Raise the head of the table to 75 degrees. (NOTE:
With colon distended, some patients have a vaso-vagal reaction when
standing. Before placing the patient upright, advise him to warn you if he
feels faint, so that you can lower the table to a horizontal position
before he passes out and falls.)
With the patient upright, unclamp the tubing and allow
barium to drain into the enema bag during the entire time that you are taking
spot images of the hepatic and splenic flexures.
-
Rotate the patient back into LPO position. Take spot image
of hepatic flexure.
 
- Rotate the patient into RPO position.
Take spot image of splenic flexure.
 
- Clamp the enema bag tubing.
Lower the table to a horizontal position.
Roll the patient into the left lateral
position.
Lower the head of table down to -10 degrees.
|
|
|

