Gastrointestinal Radiology > Procedures > CT-Guided Perc. Gastrostomy > CT-Guided Perc. Gastrostomy (6)
CT-Guided Percutaneous Gastrostomy: A Tutorial
![]()
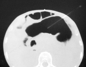
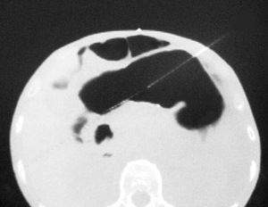
Step 7: Confirm that the needle tip is in the gastric lumen using axial CT sections (use lung windows). It is critical to ensure that the needle is in the lumen and not merely tenting the surface. Introduce the spring coil end of the 0.035 inch diameter guidewire into the needle while maintaining slight tension on the trailing gastrointestinal anchor thread. Using the guidewire, push the gastric anchor out of the needle into the gastric lumen. Maintenance of slight tension on the trailing thread prevents jamming of the thread within the lumen of the needle.


|
Confirm needle tip location using lung windows |
Maintain slight tension on trailing thread |


|
Advance wire to push gastric anchor into lumen |
Maintain slight tension on trailing thread |
